Chưa có sản phẩm trong giỏ hàng.
😁💋Niềng răng là một phương pháp chỉnh nha giúp điều chỉnh khớp cắn và sắp...
🦷 Rượu bia có tác hại nghiêm trọng đến men răng. Men răng là lớp...
TRÁI THANH LONG …. …… …… ……. 📌 Ghé nha khoa 𝐊𝐢𝐦 𝐃𝐮𝐧𝐠 𝐃𝐫 𝐓𝐮́...
“Mùa giáng sinh đang đến gần, là thời điểm hoàn hảo để bạn tặng cho...
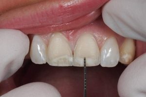
“𝐑ă𝐧𝐠 𝐧𝐡𝐢ễ𝐦 𝐭𝐞𝐭𝐫𝐚𝐜𝐲𝐜𝐥𝐢𝐧𝐞 là tình trạng răng bị ố màu, men răng xỉn vàng, do...
🌈👨👩👧👦 Bạn muốn lưu giữ những khoảnh khắc quý giá cùng nụ cười rạng rỡ...
🌈 Thun tách kẽ luôn gắn liền với phương pháp niềng răng.Có 2 loại thun...
⚠️⚠️”𝐓𝐫ồ𝐧𝐠 𝐢𝐦𝐩𝐥𝐚𝐧𝐭 𝐠𝐢𝐚́ 𝐫ẻ có thể mang theo những biến chứng đáng lo ngại. ❌...
🤔🔔”Khi đối mặt với tình trạng mất răng toàn hàm, quyết định giữa hàm tháo...
❤️🔥❤️🔥❤️🔥 Lựa chọn răng sứ thẩm mỹ trong mùa Giáng Sinh này là quyết định...
❌ Bạn đang gặp vấn đề với răng khôn và cảm thấy bất tiện? 📌Hãy...
🆘 Đừng để hàm răng ố vàng, xỉn màu thành mối bận tâm đáng lo...
...
Lên đầu
Tên tài khoản hoặc địa chỉ email *
Mật khẩu *
Ghi nhớ mật khẩu Đăng nhập
Quên mật khẩu?