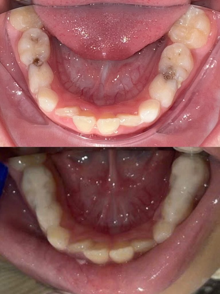
Nhiều ba mẹ nghĩ răng sữa rồi cũng rụng, nên không cần trám hay giữ làm gì.
❌ Nhưng thật ra đó là quan niệm sai lầm khiến con dễ bị lệch răng, sai khớp cắn sau này!
Dưới đây là vì sao răng sữa rất quan trọng:
1️⃣ Giữ chỗ cho răng vĩnh viễn mọc đúng vị trí
👉 Nếu nhổ sớm, răng bên cạnh sẽ xô lệch, khiến răng vĩnh viễn sau này mọc chen chúc, lệch lạc.
2️⃣ Giúp con ăn nhai và phát âm chuẩn
👉 Mất răng sớm khiến con nhai kém, tiêu hóa kém và nói ngọng.
3️⃣ Ngăn sâu răng lây sang răng khác
👉 Răng sữa sâu nếu không trám sẽ lây sang răng kế bên, thậm chí ảnh hưởng đến mầm răng vĩnh viễn bên dưới.
4️⃣ Trám răng sữa giúp giữ răng đến đúng thời điểm thay
👉 Răng được bảo tồn, giúp răng vĩnh viễn mọc đúng vị trí, không phải chỉnh nha sau này.
⸻
💡 Tóm lại:
Răng sữa tuy “sẽ rụng” nhưng vẫn cần chăm sóc và điều trị đúng cách.
Chỉ nên nhổ khi răng lung lay nhiều hoặc có chỉ định từ nha sĩ.
💖 Giữ răng sữa khỏe – cho con nụ cười đẹp và đều khi trưởng thành 🌈

