
1. Lớp vôi răng che phủ chân răng bị loại bỏ
• Vôi răng bám lâu ngày như một “lớp áo” phủ lên cổ và chân răng.
• Khi cạo bỏ, phần ngà răng (nhạy cảm hơn men răng) có thể bị lộ ra, dẫn đến ê buốt khi tiếp xúc với nóng, lạnh, chua, ngọt.
2. Nướu răng bị co nhẹ sau cạo vôi
• Trước đó nướu viêm, sưng, che bớt chân răng.
• Khi sạch vôi, nướu co lại đúng vị trí, làm lộ cổ răng → gây ê.
3. Răng bị nhạy cảm tạm thời do thao tác cạo
• Dụng cụ siêu âm rung hoặc đầu cạo cơ học tác động vào răng → men răng hơi “mệt” nên ê buốt vài ngày đầu.
4. Có sẵn tình trạng mòn cổ răng, tụt nướu, men răng mỏng
• Sau khi sạch vôi, các vùng này dễ bị kích thích hơn.

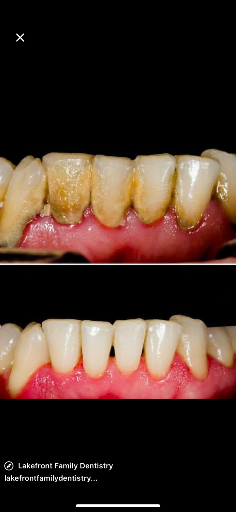
Hình ảnh trước và sau khi cạo vôi
👉 Cách khắc phục ê buốt sau cạo vôi
• Dùng kem đánh răng dành cho răng nhạy cảm (chứa fluor, kali nitrat).
• Tránh thức ăn quá nóng, quá lạnh, quá chua vài ngày.
• Giữ vệ sinh răng miệng sạch sẽ, chải răng nhẹ nhàng.
• Ê buốt thường giảm sau 2–7 ngày. Nếu kéo dài hơn hoặc đau nhiều, nên quay lại nha sĩ để kiểm tra (có thể cần trám bảo vệ cổ răng hoặc bôi thuốc chống ê buốt).

